• 九龙·平价·诊疗医院

    健康咨询热线

    15082393536

  • 网站首页 九龙简介 特色诊疗 医院科室 医生团队 媒体报道 诊疗设备 联系我们
  • 攀枝花九龙医院
  • 攀枝花九龙医院
  • 攀枝花九龙医院
  • 计划生育
    人流 │ 人工流产
    早孕药流 │ 先兆流产
  • 妇科炎症
    宫颈糜烂 │ 阴道炎
    盆腔炎 │ 月经不调
  • 男科疾病
    包皮包茎 │ 性功能障碍
    泌尿感染 │ 前列腺
  • 不孕不育
    女性不孕 │ 男性不育
    优生优育 │ 孕育常识
  • 私密美型
    处女膜修复 │ 阴道紧缩
    阴唇美型 │ 腋臭
  • 健康体检
    男科检查│ 妇科检查
    体检常识│ 体检注意
  • 热门关键词: 龟头炎 早泄 阴道炎 包皮手术 流产 宫颈糜烂

  • 健康热线:15082393536

    点击预约
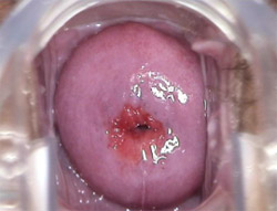
  • 轻度宫颈糜烂的症状及治疗

    责任编辑:攀枝花九龙医院

    时间:2014-07-08 16:02

      宫颈糜烂是当今女性为常见的宫颈疾病之一,一般根据糜烂面积可以分为轻度、中度和重度三种。其中轻度宫颈糜烂是病情轻的一种,所以常常容易被女性患者所忽视,结果因为没能及时进行治疗,导致病情加重。下面我们就来了解一下轻度宫颈糜烂的症状和治疗,希望可以帮助到大家。

      什么是轻度宫颈糜烂?

      宫颈糜烂的面积小于整个子宫颈面积的1/3时,为轻度宫颈糜烂。

      轻度宫颈糜烂的症状:

      1、白带异常:白带增多,通常呈粘稠或脓性粘液,严重时有时伴有腥臭味,有时带血或有性生活出血;

      2、腰骶骨酸痛:下腹部或腰骶部有微微的疼痛,每于性生活、经期和排便时加重;

      3、月经不调:宫颈糜烂会影响到女性月经周期、月经量等,有时候还会出现痛经的现象。

      4、外阴不适:外阴瘙痒、或灼热不适,阴道的瘙痒以及疼痛。

      5、尿频、尿急、尿痛:这是宫颈糜烂患者较为明显的症状表现,有些轻度宫颈糜烂患者也会有这种症状,自觉双下肢无力,口苦,恶心,小便发黄等。

    》》存在上述不良的症状?点击提交病例,让专家为您诊断讲解您的情况《《

      轻度宫颈糜烂的危害:

      1、可导致中、重度宫颈糜烂。若是未能及时的治疗轻度宫颈糜烂,可能会导致炎症的加重,转为宫颈中度糜烂或是宫颈重度糜烂,因而更难以诊治。

      2、可并发其他病症。宫颈炎症的长期刺激,可能引起其它妇科炎症,如:宫颈糜烂的病原体可以上行造成宫颈内膜炎;可以通过宫旁韧带、淋巴管蔓延引起慢性盆腔炎;当炎症波及膀胱三角区可引起尿痛、尿频或排尿困难等刺激症状。

      3、导致宫颈病变,增加癌变的几率。在慢性炎症长期刺激下,可造成息肉、裂伤、外翻及囊肿;颈管增生而来的柱状上皮可发生非典型增生,如不及时治疗,其中一部分终会发展为癌。此外,有宫颈糜烂的妇女其宫颈癌的发病率比无宫颈糜烂者高10倍。

      专家一致推荐:治疗宫颈糜烂,就选新一代德国LEEP刀

      攀枝花九龙医院引进的新一代德国LEEP刀是现代工程技术和医学相结合的产物。作为一种非侵入性治疗方法,它可产生强大的能量穿过软组织而聚焦到宫颈内的病变组织,由于聚焦部位的强大能量存积,可使蛋白变性、病变组织细胞不可逆性坏死,促进组织重建。新一代德国LEEP刀在传统LEEP刀的基础上进行了全面的技术升级,其显著特点是不损伤宫颈周围组织,并具有微创、安全、恢复快等优点!

      ◆1、疗效显著:对病变组织进行全面清除,手术很好。

      ◆2、无疤:高效疗法,修复式治疗;无创,术后宫颈光滑如初。

      ◆3、保留产权:保全完整子宫,保留患者生育能力。

      ◆4、降低费用:5-10分钟完成治疗,无需住院,缩短手术时间,降低费用。

      ◆5、绿色安全:手术安全、并发症少;明显降低宫颈疾病的误诊率和漏诊率。

      现在网络预约成功即可享受免专家挂号费,优先就诊节约您排队等待的宝贵时间。马上点击预约>>>

      温馨提示:如果您的身体有不适症状,请及时到正规医院就诊,明确诊断后按医嘱治疗。为了方便您更好地了解疾病相关信息,攀枝花九龙医院特开设了免费预约挂号服务,您可以直接点击与医生在网上对话。XN#XL

    【温馨提示】

    任何疾病,都需要先经过详细的检查,确定病因,了解病情之后,再针对性的进行治疗。若长期拖延不治,则会延误治疗时间,加重病情。为方便患者了解自己的情况,我院特地开设免费网上咨询与预约服务,点击预约挂号,即可与医生进行一对一的交流。通过网络预约就诊,还能享受到更多的优惠。

    上一篇:宫颈糜烂治疗的合适时间 下一篇:宫颈糜烂的五个征兆

    2016-07-08■ 女性宫颈糜烂发作的原因哪些

    2016-07-04■ 宫颈糜烂用什么药比较好

    2016-07-01■ 怎样才能预防宫颈糜烂

    2016-06-24■ 手淫会引起宫颈糜烂吗

    2016-06-13■ 性生活不当会诱发宫颈糜烂吗

    2016-06-11■ 宫颈糜烂有什么症状表现呢

    2016-06-06■ 宫颈糜烂医治的费用需要多少

    2016-05-10■ 女性宫颈糜烂早期的发病症状

    2016-04-23■ 女性宫颈出血的原因有哪些

    2016-04-19■ 攀枝花女性同房后私处有血是啥回

  • 就医指南

    更多》
    网上挂号 预约挂号 联系我们 医保政策

    24小时健康咨询热线
    15082393536

    医生团队

    更多》
    • 王清红 泌尿外科主任

      王清红作为攀枝花九龙医院的优秀男科医生,从事男科疾病临床工作13余年...[详情]

    • 周红 妇科主任

      周红是攀枝花九龙医院的妇科主任,对于尿道炎...[详情]

    • 吕家龙 副主任医师

      吕家龙男科医师在男科病的诊疗上具有丰富的临床经验,对男性性功能障碍...[详情]

    • 陈晓 副主任医师

      陈晓,攀枝花妇科优秀医生。陈晓医师对阴道炎...[详情]

    我要预约 我要预约

    特色诊疗技术

    更多》

    微管人流技术

    微创DGD包皮环切术

    新一代LEEP刀微创技术

    O3高能纯净活性氧

    前列腺畅销消融治疗系统

    IMT阴茎背神经降敏术

    精品专题推荐

  • 攀枝花九龙医院首页 | 医院动态 | 医生团队 | 联系我们
  • 医院地址:攀枝花市东区攀枝花大道中段660号 24小时咨询电话:15082393536

    私密Q Q:1294333666 短信咨询:15082393536

    攀枝花九龙医院 蜀ICP备11022852号-1